放射線技術部
放射線技術部について
放射線技術部は、X線撮影、CT、MRI、血管造影、核医学検査、放射線治療などの部門で構成されており、各診療科が診療に必要な医用画像の提供や、放射線治療などの診療に従事しています。
日々進歩、高度化する放射線技術に対応するため、常に高度な技術や専門知識が求められます。放射線技術部では、医療器機器の更新を行い、磁気共鳴専門技術者や放射線治療専門放射線技師など、部門ごとに認定・専門資格を有した技師を配置し、より質の高い医療を提供できるよう取り組んでいます。
今後も、県民の皆様の望まれる安全で安心な医療を提供できるよう努めてまいります。
主な業務内容
X線撮影
X線撮影装置は2019年に全てフラットパネルシステムに更新され、従来に比べて少ないX線量で高画質な画像での診断が可能となりました。
また、撮影後すぐに画像の確認ができるようになり、検査時間の短縮や検査時間にかかる患者さんの負担が軽減されています。
また、同じく歯科用撮影装置も更新し、従来までの歯列全体を一枚に描出する「パノラマ撮影」に加え、歯科専用のCT検査が可能になり、対象とする歯の周囲をより鮮明に詳しく描出できます。
乳房撮影
乳がん診断のためのデジタルX線撮影です。
2025年2月に最新のマンモグラフィ装置での運用を開始しました。
従来機種と比較して被ばく線量を低くしながらも、高精細な画像を得ることができ、石灰化など微小な病変の描出が向上しました。
また、マンモトーム(乳房内組織生検)によって乳房内の疑わしい石灰化に針を刺して採取する検査も行っています。小さな傷で患者さんの負担も少なく正確な診断ができます。
乳房撮影は圧迫時に伴う痛みから、ストレスを感じる患者さんが多いと思われます。患者さんに寄り添い、安心して検査を受けていただけるよう、スタッフ一同努めます。
なお、当院は「NPO法人日本乳がん検診制度管理中央機構」の認定施設となっています。
骨密度測定検査
骨密度測定とは骨の強度測定のことです。
閉経後の女性に多いとされる骨粗鬆症の診断に有効です。
骨粗鬆症は、加齢と共に骨の量が減少し腰椎圧迫骨折や大腿骨頸部骨折などを引き起こしやすくなります。
装置更新により、従来の腰椎に加え大腿骨頸部の測定も行うことが可能になりより正確な診断に役立てています。
検査は台の上に15分程度寝るだけで測定できます。
CT検査
CT(Computed Tomography:コンピュータ断層撮影法)は、X線を使用して体内の様子を画像化する検査です。当院では3台のCT装置が稼働しています。
2020年4月より2台が導入されたGE社製Revolution CTでは16cmの範囲を最短で0.28秒の撮影可能であるため、心臓の動きに合わせた撮影や息止めが難しい患者さん(小児など)の撮影に有用です。 また、同時に2種類のエネルギーのX線で撮影を行うデュアルエナジー撮影を使用することで、通常のCT検査で得ることのできない物質の同定・分別ができ、診断に有用な情報を提供することができます。
2022年1月より新たにCT装置1台がCanon社製Aquilion Prime SPに更新されました。これに伴い、検査室の1部屋を感染症にも対応できるように改装しました。新たな検査室では特別な空調設備により、空気感染を起こすウイルスや細菌(COVID-19など)を室外に逃がさないようにすることが可能となりました。感染対策も含め、安心して検査を受けていただけるような環境作りにも努めています。
MRI検査
MRI検査(Magnetic Resonannce Imaging:核磁気共鳴画像)は、磁場と電波を利用して人体のあらゆる角度の断面を画像化する検査です。当院では2台のMRI装置が稼働しています。
強い磁場を持った装置で、急性期の脳梗塞の診断や、造影剤を使用せずに脳動脈瘤を発見する頭部検査等、全身の診断に大きな威力を発揮しています。
患者さんの状態(ペースメーカー・体内に金属がある方など)によっては検査ができない場合がありますので、事前にお知らせください。
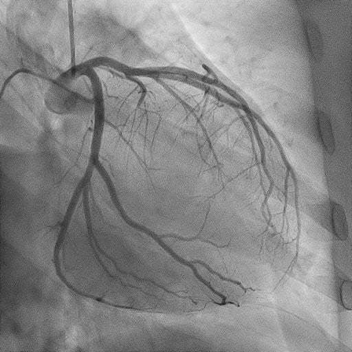
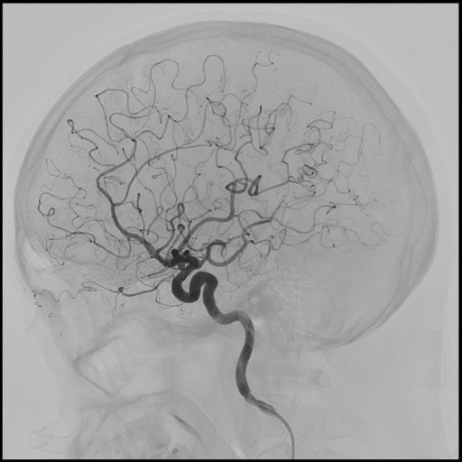
血管造影検査
当院では、血管の状態を詳しく調べたり、カテーテルを使って治療を行う「血管造影検査・治療(IVR)」を実施しています。専用の血管造影装置は2台あり、1台は心臓や足の血管など循環器専用、もう1台は脳や腹部などの頭腹部用です。令和7年4月からは、頭腹部用の装置を最新機種に更新し、より高精度で安全な検査・治療が可能となりました。主な対象疾患は、心筋梗塞、下肢動脈閉塞、脳梗塞、脳動脈瘤、頸動脈狭窄などで、これらに加え、肝臓や子宮の腫瘍、外傷などに対する止血術(TAE)など全身の病気に対応しています。経験豊富なスタッフが担当し、患者さんの負担を軽減しながら、安全で質の高い医療を提供しています。
RI検査
RI検査(Radio Isotope:放射性同位元素)は、放射線(ガンマ線)を放出する薬品(放射性医薬品)を体内に投与して、体外から特殊なカメラで撮像する検査です。
投与された放射性医薬品は目的の臓器や器官に集まる特性があり、臓器の形や血流、機能を画像化することができます。
放射性医薬品からでる放射線は少量で、時間とともに減少し、早いものでは数時間、遅いものでも数日の半減期(放射線を放出する能力が半分になる時間)で弱くなります。
さらに排尿・排便により速やかに体外へ排出されるため、いつまでも体内から放射線が出続けることはありません。
検査の内容も多岐に分かれており、放射線医薬品を体内に入れた直後から、数時間後、数日後に検査を実施する場合や、当日に2回以上行うこともあります。また、より高い精度で検査を行うために、検査前の食事制限や下剤の利用など、前処置が必要となることもあります。
RI検査に関してご不明な点がありましたら、スタッフへお気軽にお尋ねください。
放射線治療
放射線治療はX線・電子線という種類の放射線を使ってがんを治療します。 放射線治療では手術と同等の効果を得ることが可能です。
治療にあたってはCT画像を利用して、治療計画装置にて照射方法を決定します。 治療はミリ単位で位置を調整し正確に照射しています。
治療部位によっては高精度放射線治療を行なっており、正常な組織への影響(副作用)を極力少なくし、目標部分には最大の治療効果を得ることが可能です。
スタッフ紹介
-
診療放射線技師 26名(正規職員22名、会計年度任用職員4名)
-
受付業務担当職員 4名(嘱託)
資格取得者
- 第1種放射線取扱主任者:6名
- 博士:1名
- 修士:6名
- 医学物理士:2名
- 放射線治療専門放射線技師:4名
- 放射線治療品質管理士:3名
- 検診マンモグラフィ撮影認定診療放射線技師:4名
- X線CT認定技師:4名
- 磁気共鳴専門技術者:2名
- 日本血管造影・インターベンション専門診療放射線技師:1名
- 画像等手術支援認定診療放射線技師:2名
- 第1種作業環境測定士(放射性物質):1名
- 医療安全管理者:1名
- 第一種衛生管理士:2名
